Stomatologia estetyczna przed i po transformacji

Nie każdego z nas natura obdarzyła idealnym uśmiechem. Na szczęście nic nie stoi na przeszkodzie, żeby taki posiadać.

Wystarczy decyzja o podjęciu leczenia w zakresie stomatologii estetycznej. Już pierwsza wizyta pozwoli ocenić możliwości, jakie ma do zaoferowania.

Z naszych obserwacji wynika że najlepiej na podjęcie decyzji o wizycie u stomatologa wpływa zapoznanie się z konkretnym przykładem efektów terapii u bliskich, znajomych lub pacjentów dentysty. Dlatego zapraszamy do zapoznania się krok po kroku z metamorfozą naszych dwóch pacjentek.


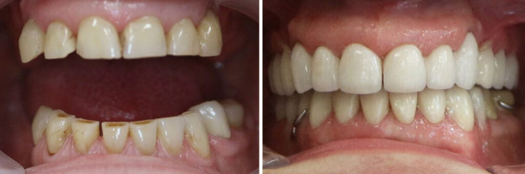
Stomatologia Estetyczna ?Przed i Po? na przykładzie Pani Ewy (59 lat).


Przed rozpoczęciem leczenia nasza pacjentka użytkowała dwie protezy akrylowe, już bardzo słabo spełniające swoją funkcję. W szczęce znajdowało się szczątkowe uzębienie (5 własnych zębów, w tym bardzo wątpliwy kieł, pozostawiony na czas leczenia przygotowawczego. Bardzo wychylona siekaczami duża diastema (przerwa pomiędzy siekaczami). W żuchwie sześć własnych zębów przednich. Pani Ewa nie chciała implantacji, dlatego znaleźliśmy inną drogą do uzyskania satysfakcjonującej przemiany.

Głównym celem zabiegu była poprawa estetyki i funkcji oraz pozbycie się lęku przed wypadnięciem protezy.
Podczas leczenia wykonaliśmy sanację jamy ustnej (wyleczenia wszystkich patologii w jamie ustnej – przede wszystkim próchnicy poprzez wypełnienia oraz leczenie endodontyczne). Następnie założyliśmy naszej pacjentce sekcyjny aparat ortodontyczny z dowieszonym do niego  kompozytowym dwunastym zębem. W trakcie leczenia ortodontycznego wykonaliśmy wyrównanie płaszczyzny zgryzu za pomocą materiału kompozytowego i protezę szkieletową dolną. Po skorygowaniu ustawienia zębów górnych, zostały one oszlifowane i podjęto leczenie protetyczne. Cały proces zajął 6 miesięcy. Odmieniona Pani Ewa już planuje wykonanie licówek ceramicznych na zęby dolne.

Stomatologia Estetyczna ?Przed i Po? na przykładzie Pani Anny (50 lat).


Kolejną naszą, już uśmiechniętą i bez kompleksów pacjentką jest Pani Anna spod Bydgoszczy.

W momencie trafienia do naszego gabinetu, kobieta marzyła o białych zębach, chciała pozbyć się akrylowych protez, gdyż odczuwała przez nie ogromny dyskomfort zarówno fizyczny, jak i psychiczny. Leczenie składało się z kilku etapów.

Cały proces rozpoczęliśmy od  przygotowań przedprotetycznych (leczenie próchnicy, usunięcie metalowych wkładów koronowo korzeniowych, jak i wykonanie wkładów z włókien szklanych). Następnie w szczęce umieściliśmy korony zespolone (ceramika na podbudowie cyrkonowej) oraz protezę szkieletową z zatrzaskami, a w żuchwie koronę pełnoceramiczną i sześć licówek ceramicznych (dwukrzemian litu) oraz protezę szkieletową tradycyjną (bez zatrzasków). Metamorfoza Pani Ani zajęła niespełna dwa miesiące.

Pacjenci decydują się na duże prace estetyczne czasami spontanicznie, ale częściej jest to efekt długich przemyśleń oraz przygotowań mentalnych i finansowych. Naszym zdaniem to właśnie mentalna strona decyzji jest ważniejsza. Dlaczego? Zdarzało nam się odradzać wykonania dużych prac protetycznych, gdyż pacjent nie był na nie gotowy właśnie ze strony mentalnej. Wykonanie takich procedur nie należy do spraw łatwych i trzeba się liczyć z dyskomfortem w trakcie leczenia oraz mieć dużo cierpliwości w okresie adaptacji. Z drugiej strony efekt może wynagrodzić wiele.

Dla wielu pacjentów taka zmiana to spełnienie marzeń, pozbycie się kompleksów, szansa na nowe otwarcie się na świat i ludzi. Dla nas natomiast to ogromna satysfakcja, że możemy pomagać naszym pacjentom zmieniać ich życie na lepsze.

Podsumowanie

Jeżeli czytając ten artykuł zastanawiasz się, czy to czas na Twoją transformację, koniecznie odwiedź nasz gabinet. Zadbaj o siebie już dzisiaj i umów się na konsultację.

Zapytaj o wolny termin