-

Jaką rolę pełni pasta do zębów w codziennej higienie jamy ustnej?
Zostając przy temacie higieny jamy ustnej teraz bierzemy pod lupę pasty do zębów. Dlaczego stosujemy pasty do zębów, poza oczywistym powodem jakim jestem ochrona przed próchnicą? Pasty przede wszystkim oczyszczają…
-

Jakie szczoteczki są najlepsze?
Na postawione pytanie trudno udzielić jednoznacznej odpowiedzi. Tak naprawdę każda szczoteczka jest w stanie dokładnie doczyścić zęby, a wszystko zależy od odpowiedniej techniki mycia jamy ustnej. Najlepiej przed wyborem szczoteczki…
-

Jak przebiega ekstrakcja zęba?
Dzięki nowoczesnym metodom leczenia zębów, stomatolodzy ich usunięcie traktują jako ostateczność. Czasami jednak jest to konieczne. Często na myśl o wyrwaniu zęba pacjenci odczuwają niepokój oraz nie wiedzą w jaki…
-

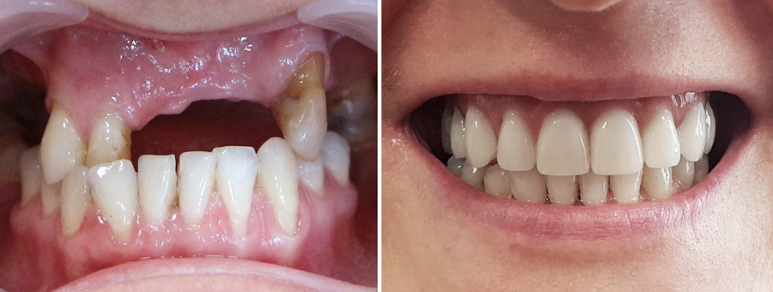
Metamorfozy stomatologiczne – Bydgoszcz szeroko się uśmiecha!
Izabela, 62 lata Pani Izabela trafiła do gabinetu w celu kompleksowego leczenia stomatologicznego oraz poprawy wyglądu uśmiechu. W pierwszej kolejności przeprowadziliśmy leczenie zachowawcze licznych ubytków próchnicowych oraz leczenie endodontyczne kilku zębów. Po…
-

Trening oddechowy Butejki Bydgoszcz
W jednym z naszych artykułów mieliście możliwość zapoznania się z podstawami metody Butejki. Ten wciąż mało znany sposób świadomego oddychania przyczynia się do poprawy zdrowia a jego efekty zostały naukowo potwierdzone.…
-

Stomatologia i profilaktyka Bydgoszcz Czyżkówko – to się bardzo opłaca.
Lepiej zapobiegać niż leczyć? Te słowa Hipokratesa całkowicie, już na wstępie, oddają sens naszego wpisu. Pod pojęciem stomatologii zachowawczej, inaczej nazywanej stomatologią ogólną, kryją się przede wszystkim profilaktyka i leczenie…
-

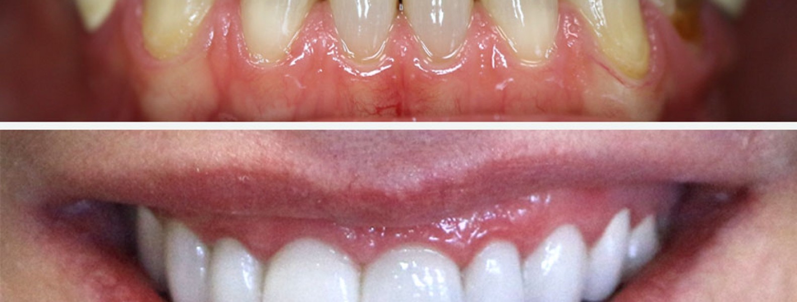
Stomatologia estetyczna Bydgoszcz – metamorfozy
Pani Agata wybrała nasz gabinet, ponieważ marzyła o pięknym białym uśmiechu. Pani Agata wybrała nasz gabinet, ponieważ marzyła o pięknym białym uśmiechu. Często pacjenci decydują się na taki krok ze…
-

Stomatologia estetyczna przed i po transformacji
Nie każdego z nas natura obdarzyła idealnym uśmiechem. Na szczęście nic nie stoi na przeszkodzie, żeby taki posiadać. Wystarczy decyzja o podjęciu leczenia w zakresie stomatologii estetycznej. Już pierwsza wizyta…
